Bệnh tự miễn ngoài da là nhóm bệnh da liễu mạn tính, hình thành do rối loạn hoạt động của hệ miễn dịch. Cơ thể “nhầm lẫn” và tự tấn công tế bào da khỏe mạnh, gây viêm, bong vảy hoặc nổi mụn nước. Các bệnh thường gặp gồm vẩy nến, lupus, xơ cứng bì, bạch biến, pemphigoid… Việc hiểu rõ nguyên nhân, triệu chứng và điều trị bệnh tự miễn ngoài da giúp kiểm soát bệnh hiệu quả, hạn chế tái phát.
Bệnh tự miễn ngoài da là bệnh như thế nào?
Bệnh tự miễn ngoài da là tình trạng hệ miễn dịch của cơ thể bị rối loạn, không còn phân biệt được “tế bào lạ” và “tế bào của chính mình”. Thay vì chỉ tiêu diệt virus, vi khuẩn hay tác nhân gây hại, hệ miễn dịch lại tấn công nhầm vào tế bào da khỏe mạnh, gây ra viêm, bong tróc, ngứa rát hoặc mất sắc tố da.
Khác với các bệnh da liễu thông thường, bệnh tự miễn ngoài da không lây truyền và không do vi khuẩn gây ra, mà xuất phát từ rối loạn bên trong cơ thể. Chính vì vậy, bệnh thường kéo dài, dễ tái phát và cần được điều trị, kiểm soát lâu dài theo hướng ổn định hệ miễn dịch.
Theo các chuyên gia da liễu, phụ nữ trong độ tuổi 20 – 40 là nhóm dễ mắc bệnh tự miễn ngoài da hơn do ảnh hưởng nội tiết và hormon. Ngoài ra, yếu tố di truyền, stress, ánh nắng, nhiễm trùng hay môi trường ô nhiễm cũng có thể kích hoạt hoặc làm bệnh bùng phát.
Ở một số trường hợp, phản ứng tự miễn không chỉ biểu hiện trên da mà còn ảnh hưởng đến cơ, khớp, mạch máu và nội tạng, khiến người bệnh mệt mỏi, đau nhức hoặc sụt cân.
>>> Có thể bạn quan tâm: Trị viêm da tiếp xúc bao lâu khỏi? Cách ngừa tái phát hiệu quả

Các bệnh tự miễn ngoài da thường gặp nhất hiện nay
Các bệnh tự miễn ngoài da là nhóm bệnh mạn tính, tiến triển theo từng giai đoạn, gây tổn thương da do hệ miễn dịch tấn công nhầm tế bào da. Dưới đây là những bệnh phổ biến nhất hiện nay:
Bệnh vẩy nến
Bệnh vẩy nến là bệnh tự miễn ngoài da phổ biến, khiến tế bào da tăng sinh quá nhanh, gây bong vảy trắng, dày sừng, ngứa hoặc đau rát. Tổn thương thường xuất hiện ở da đầu, khuỷu tay, đầu gối. Bệnh không lây, nhưng dễ tái phát khi căng thẳng, thay đổi thời tiết hoặc rối loạn miễn dịch. Điều trị chủ yếu bằng thuốc bôi, quang trị liệu và thuốc điều hòa miễn dịch.

Lupus ban đỏ hệ thống
Lupus ban đỏ là bệnh tự miễn mạn tính, trong đó hệ miễn dịch tấn công nhiều cơ quan như da, khớp, thận. Trên da, bệnh gây ban đỏ hình cánh bướm ở mặt, nhạy cảm với ánh nắng, rụng tóc hoặc loét miệng. Lupus thường gặp ở phụ nữ trẻ, cần điều trị lâu dài bằng thuốc ức chế miễn dịch và corticosteroid.

Bệnh xơ cứng bì
Xơ cứng bì là bệnh tự miễn ngoài da gây dày và cứng da do tăng sinh collagen bất thường. Tùy mức độ, bệnh có thể chỉ ảnh hưởng da (xơ cứng bì khu trú) hoặc lan rộng đến mạch máu, phổi, tiêu hóa (xơ cứng bì toàn thể). Biểu hiện gồm da căng bóng, khó cử động, lạnh đầu ngón tay. Điều trị giúp giảm xơ hóa, cải thiện lưu thông máu và ngăn biến chứng.
Bệnh viêm bì cơ
Viêm bì cơ là bệnh tự miễn ngoài da có biểu hiện đồng thời ở da và cơ. Người bệnh thường thấy ban đỏ tím quanh mắt, mặt hoặc vùng duỗi tay chân, kèm cảm giác yếu cơ, mệt mỏi khi vận động.
Bệnh thường gặp ở phụ nữ trung niên và trẻ em, diễn tiến mạn tính, có thể ảnh hưởng đến nhiều cơ quan khác trong cơ thể. Việc phát hiện sớm và theo dõi định kỳ giúp kiểm soát bệnh hiệu quả, ngăn ngừa biến chứng.
Bệnh bạch biến
Bạch biến là một dạng bệnh tự miễn ngoài da gây mất sắc tố, hình thành các mảng da trắng rõ rệt so với vùng da xung quanh. Bệnh không gây đau hay ngứa nhưng ảnh hưởng lớn đến thẩm mỹ và tâm lý, đặc biệt khi xuất hiện ở mặt, cổ hoặc tay. Bạch biến không lây, tuy nhiên bệnh có xu hướng lan rộng và kéo dài, cần được kiểm soát bằng chế độ chăm sóc da phù hợp và theo dõi da định kỳ.
Ly thượng bì bóng nước
Ly thượng bì bóng nước là một bệnh da bẩm sinh hiếm gặp, khiến da trở nên rất mong manh và dễ phồng rộp ngay cả khi có va chạm nhẹ. Bệnh hình thành do đột biến gene ảnh hưởng đến cấu trúc liên kết giữa các lớp da, khiến da dễ bị tách lớp.
Tổn thương thường biểu hiện bằng mụn nước, vết trợt, loét da hoặc sẹo co rút, đặc biệt ở bàn tay, bàn chân và vùng tỳ đè. Hiện chưa có cách điều trị triệt để, người bệnh cần chăm sóc da nhẹ nhàng, giữ vệ sinh sạch sẽ và phòng tránh nhiễm trùng để bảo vệ làn da.
Bọng nước pemphigoid
Bọng nước pemphigoid là bệnh tự miễn ngoài da thường gặp ở người lớn tuổi, đặc trưng bởi sự hình thành mụn nước lớn, căng, dễ vỡ và ngứa rát. Nguyên nhân là do hệ miễn dịch tấn công nhầm màng đáy của da, gây tách lớp biểu bì và tạo bọng nước.
Bệnh có diễn tiến mạn tính, tái phát nhiều lần, nhưng có thể kiểm soát nếu điều trị đúng hướng. Việc chăm sóc da nhẹ nhàng, tránh trầy xước và theo dõi định kỳ giúp hạn chế biến chứng, cải thiện chất lượng cuộc sống cho người bệnh.

Nguyên nhân gây bệnh tự miễn ngoài da
Một số yếu tố phổ biến có thể kích hoạt hoặc làm bệnh tiến triển nặng hơn gồm:
- Môi trường sống ô nhiễm: Tiếp xúc lâu dài với hóa chất độc hại, thuốc trừ sâu, thủy ngân, chì hoặc thuốc nhuộm tóc có thể làm tổn hại tế bào và biến đổi cấu trúc da. Khi đó, hệ miễn dịch không còn nhận diện đúng tế bào cơ thể, dẫn đến phản ứng tự miễn. Bệnh lupus ban đỏ là ví dụ điển hình thường trở nên nghiêm trọng hơn trong điều kiện môi trường ô nhiễm.
- Xáo trộn hệ vi sinh đường ruột: Việc lạm dụng thuốc kháng sinh hoặc thuốc tránh thai trong thời gian dài làm mất cân bằng vi khuẩn có lợi trong đường ruột – nơi giữ vai trò quan trọng trong điều hòa miễn dịch. Hệ vi sinh bị rối loạn có thể kích hoạt phản ứng viêm và khởi phát các bệnh tự miễn.
- Nhiễm trùng: Một số loại vi khuẩn và virus có thể “đánh lừa” hệ miễn dịch, khiến cơ thể nhầm lẫn tế bào da với tác nhân gây bệnh. Hậu quả là hệ miễn dịch tấn công chính da và mô lành, dẫn đến tổn thương kéo dài.
- Thiếu hụt vitamin D: Vitamin D có vai trò hỗ trợ hoạt động của tế bào miễn dịch. Việc thiếu ánh nắng mặt trời hoặc chế độ ăn nghèo dinh dưỡng khiến cơ thể không đủ vitamin D, làm hệ miễn dịch suy yếu và mất khả năng kiểm soát phản ứng tự miễn.

Triệu chứng và dấu hiệu nhận biết của bệnh
Các bệnh tự miễn ngoài da thường tiến triển âm thầm, triệu chứng có thể khác nhau tùy loại bệnh, nhưng đều có điểm chung là tổn thương da kéo dài và dễ tái phát. Ban đầu, người bệnh có thể chỉ thấy da khô, ngứa nhẹ hoặc nổi mẩn đỏ, sau đó xuất hiện các dấu hiệu đặc trưng hơn như:
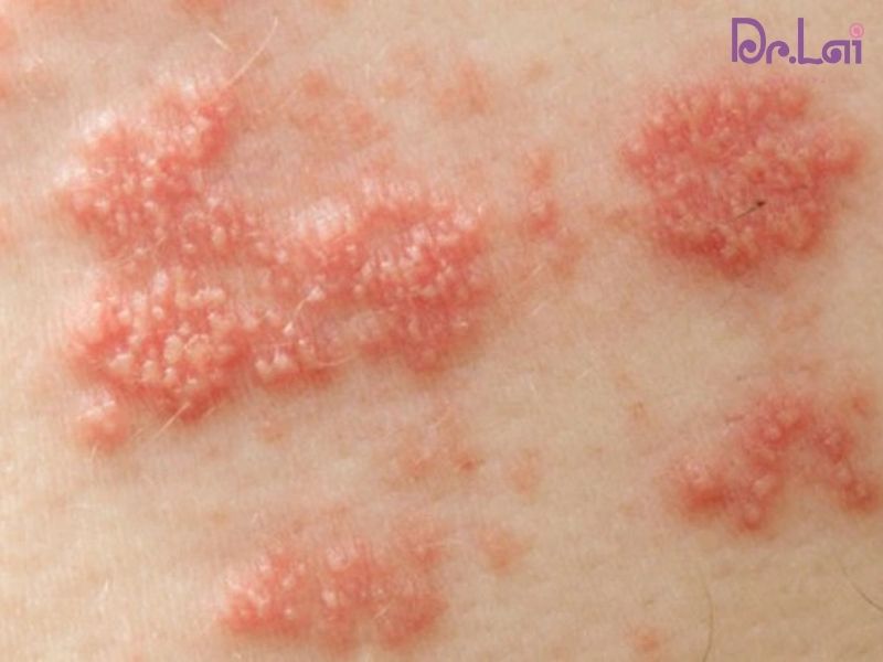
- Da bong vảy, dày sừng, nứt nẻ hoặc xuất hiện mảng đỏ giới hạn rõ ràng, thường gặp trong bệnh vẩy nến.
- Mảng da mất sắc tố trắng rõ rệt so với vùng da xung quanh, dấu hiệu đặc trưng của bệnh bạch biến.
- Da căng cứng, bóng, giảm độ đàn hồi, thường thấy ở người bị xơ cứng bì.
- Xuất hiện mụn nước, bóng nước căng dễ vỡ hoặc loét trợt da, gặp trong bệnh pemphigoid hoặc ly thượng bì bóng nước.
- Ban đỏ hình cánh bướm ở mặt, rụng tóc, loét miệng là biểu hiện đặc trưng của lupus ban đỏ.
>>> Xem thêm: 8 Dấu hiệu cho thấy da bị nhiễm ký sinh trùng nhưng lầm tưởng là dị ứng
Nên điều trị bệnh tự miễn ngoài da ở đâu uy tín?
Nếu bạn đang tìm địa chỉ điều trị bệnh tự miễn ngoài da uy tín, Phòng khám Da liễu Dr. Lai là lựa chọn hàng đầu tại Hà Nội.
Phòng khám do TS.BS Nguyễn Thị Lai – chuyên gia đầu ngành da liễu, nguyên bác sĩ Bệnh viện Hữu nghị Việt Xô – trực tiếp thăm khám và điều trị. Với hơn 27 năm kinh nghiệm lâm sàng, bác sĩ Lai nổi tiếng trong lĩnh vực bệnh da mạn tính và bệnh tự miễn ngoài da như lupus, vẩy nến, bạch biến hay trị viêm da cơ địa.
Dr. Lai chú trọng phác đồ điều trị cá nhân hóa, kết hợp y học hiện đại và chăm sóc phục hồi da chuyên sâu, giúp kiểm soát bệnh, giảm tái phát và cải thiện thẩm mỹ cho người bệnh.
Phòng khám sở hữu cơ sở vật chất hiện đại, công nghệ laser tiên tiến, cùng đội ngũ y bác sĩ tận tâm, cam kết mang lại hiệu quả điều trị an toàn và bền vững cho từng bệnh nhân.

Cách phòng ngừa bệnh tự miễn ngoài da tái phát
Để phòng ngừa bệnh tự miễn ngoài da và hạn chế nguy cơ tái phát, người bệnh cần chủ động điều chỉnh lối sống và chăm sóc sức khỏe toàn diện. Một số biện pháp hữu ích gồm:
- Duy trì lối sống lành mạnh: Ngủ đủ giấc, giữ tinh thần thoải mái, tránh căng thẳng kéo dài. Căng thẳng là yếu tố dễ kích hoạt phản ứng tự miễn và làm tổn thương da nặng hơn.
- Ăn uống khoa học: Bổ sung thực phẩm giàu vitamin D, omega-3, rau xanh và trái cây tươi để tăng cường sức đề kháng. Hạn chế đồ ăn nhiều đường, dầu mỡ, chất kích thích và thực phẩm chế biến sẵn.
- Tập thể dục thường xuyên: Các hoạt động nhẹ như yoga, đi bộ, bơi lội giúp tăng lưu thông máu, giảm viêm và cải thiện sức khỏe miễn dịch.
- Kiểm soát cân nặng hợp lý: Béo phì làm tăng nguy cơ mắc hoặc tái phát các bệnh tự miễn như vẩy nến, lupus, viêm khớp dạng thấp, do đó cần duy trì cân nặng ổn định.
- Khám sức khỏe định kỳ: Nên kiểm tra da và hệ miễn dịch 1–2 lần mỗi năm để phát hiện sớm bất thường. Khi có dấu hiệu nghi ngờ bệnh, không tự ý dùng thuốc, mà nên đến bác sĩ chuyên khoa da liễu để được tư vấn và điều trị đúng cách.
FAQ – Một số câu hỏi thường gặp
1. Bệnh tự miễn ngoài da có di truyền không?
Có. Yếu tố di truyền đóng vai trò làm tăng nguy cơ mắc bệnh tự miễn nói chung, trong đó bao gồm cả các bệnh tự miễn ngoài da. Nếu trong gia đình có người mắc bệnh tự miễn, bạn có nguy cơ cao hơn so với người bình thường.
2. Bệnh tự miễn ngoài da có chữa khỏi hoàn toàn được không?
Hiện nay phần lớn các bệnh tự miễn đều chưa thể chữa khỏi hoàn toàn. Mục tiêu điều trị là kiểm soát triệu chứng, giảm viêm, ngăn ngừa tái phát và giảm tổn thương lâu dài.
3. Những ai dễ bị mắc bệnh tự miễn ngoài da nhất?
Những người có nguy cơ cao hơn bao gồm:
- Nữ giới, vì hormonal & yếu tố nội tiết có ảnh hưởng.
- Người trong độ tuổi từ 20 đến 40 tuổi.
- Người có tiền sử gia đình mắc bệnh tự miễn.
- Người có tiếp xúc hóa chất độc hại, lạm dụng thuốc, hoặc có rối loạn miễn dịch khác.
4. Nên chăm sóc và vệ sinh da thế nào khi mắc bệnh tự miễn?
- Sử dụng sản phẩm dịu nhẹ, không chứa cồn hoặc hương liệu mạnh.
- Giữ da sạch và ẩm, tránh làm khô da.
- Tránh ánh nắng mạnh, dùng kem chống nắng khi ra ngoài.
- Không cào, gãi hoặc chà xát mạnh vùng tổn thương da.
- Khi có dấu hiệu bất thường trên da, nên gặp bác sĩ da liễu để kiểm tra và xử lý sớm.
5. Bị bệnh tự miễn ngoài da có nên dùng mỹ phẩm không?
Có thể dùng, nhưng cần cẩn trọng chọn lựa:
- Chọn mỹ phẩm dành cho da nhạy cảm, không chứa hương liệu, không gây kích ứng.
- Trước khi dùng sản phẩm mới, nên thử trên vùng nhỏ da lành để kiểm tra phản ứng.
- Tốt nhất nên hỏi ý kiến bác sĩ da liễu trước khi dùng mỹ phẩm, đặc biệt khi đang dùng thuốc điều trị.
Bệnh tự miễn ngoài da là nhóm bệnh mạn tính phức tạp, đòi hỏi điều trị lâu dài và theo dõi sát sao. Việc hiểu rõ nguyên nhân, nhận biết sớm triệu chứng và tuân thủ hướng dẫn của bác sĩ giúp kiểm soát bệnh hiệu quả, hạn chế tổn thương da và tái phát. Với đội ngũ chuyên môn cao và phác đồ cá nhân hóa, Phòng khám Da liễu Dr. Lai là địa chỉ uy tín giúp người bệnh phục hồi làn da khỏe mạnh và cải thiện chất lượng cuộc sống.
>>> Có thể bạn quan tâm: 5 Sai lầm khi điều trị da do virus khiến bệnh nặng hơn